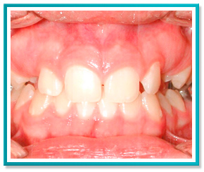
4. MORDIDA PREJUDICADA POR CHUPAR CHUPETA
Chupou chupeta ou o dedo por muitos anos e agora tem vergonha de seus dentes?
Saiba que este problema tem solução.
A seguir um caso extremo de mordida aberta corrigido com utilização de grade impedidora de língua e gancho de retração.
Abaixo o resultado alcançado com menos de 2 anos de tratamento.

5. PROBLEMAS COM A DENTIÇÃO INFANTIL
Problemas com a dentição de seu filho?
Saiba que quanto antes for a intervenção, mais fácil, rápida e conservadora será a correção.
Veja a seguir as fotos de um caso onde foi necessário trazer para frente o incisivo central que encontrava-se totalmente escondido.
A correção foi feita através de aparelho removível com ação de molas, em menos de 1 ano de tratamento.

6. NÃO ESTÁ FELIZ COM O SEU SORRISO?
Cansou das brincadeiras dos amigos? Procure-nos e resolva seu problema.
A seguir, a foto de um caso de overjet (dentes para frente) acentuado.
A Correção foi planejada com a extração de dois dentes superiores e dois inferiores, utilizando ganchos de retração para eliminar a inclinação dos dentes. Veja abaixo o resultado do tratamento realizado em 2 anos.

7. ESPAÇO ENTRE OS DENTES
O Espaço entre os dentes te incomoda?
Veja a seguir como resolver este problema de forma rápida e eficaz.
O fechamento de diastema (espaço) entre os dentes inferiores com planejamento para colocação de implante.
Logo abaixo, a foto da última consulta antes do remoção do aparelho, já com o espaço fechado.
O tratamento foi realizado em 1 ano.

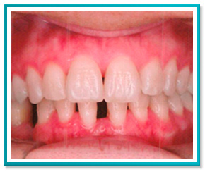
8. CORREÇÃO DE DENTES PARA FRENTE
Abaixo, fotos da correção de overjet (dentes para frente) e apinhamento (falta de espaço para acomodar todos os dentes).
A seguir, fotos da última consulta antes da remoção total do aparelho.
Caso resolvido com a extração de dois dentes superiores em 2 anos de tratamento.

9. AÇÚCAR x CÁRIES
Saiba mais sobre o que é mito e o que é verdade sobre as temidas cáries. Açúcar e Cáries andam sempre juntos. Porém, a quantidade total de açúcar que se consome tem menos impacto na formação de cáries do que a maneira como esse açúcar é consumido. A cárie ocorre quando as bactérias que revestem os dentes se alimentam de açúcares simples. Ela cria um ácido que destrói o esmalte do dente.
Quando se come algo doce, a bactéria leva por volta de 20 segundos para converter o açúcar em ácido, que então dura por 30 minutos. Isso significa dizer que uma lata de refrigerante é bem menos prejudicial do que chupar balas, por exemplo, pois balas e chicletes são consumidos várias vezes durante o dia e expõem o dente à ação dos açúcares mais vezes.
Os fatores que vão aumentar o risco de cárie não incluem a quantidade total de açúcar, mas o padrão de consumo. Você é do tipo que está constantemente dando goles? Costuma tomar doses de café diversas vezes durante o dia?
Conclusão: Pequenas quantidades de açúcar consumidas frequentemente aumentam a incidência de cáries mais do que grandes quantidades de açúcar consumidas com menos frequência.
10. APARELHOS ORTODÔNTICOS
Saiba mais sobre os modelos e o período estimado para este tratamento.
Hoje em dia temos diversos tipos de aparelhos ortodônticos. Existem os aparelhos convencionais (metálicos), os estéticos e os autoligaveis.
Todos eles apresentam basicamente o mesmo tipo de mecânica, porém com diferenças quando falamos em estética e tempo de tratamento.
Para quem procura a estética, os aparelhos confeccionados em policarbonato, porcelana ou safira laboratorial com certeza são as melhores indicações. No entanto, quando falamos em duração de tratamento, esses são os mais lentos.
O tratamento ortodôntico baseia-se no deslizamento de um fio metálico em um braquete. Dessa forma o atrito será menor quando tivermos materiais do mesmo tipo em contato. Portanto, para quem quer rapidez, o mais indicado é o aparelho convencional.
Também temos que levar em consideração o uso do elastic, conhecido popularmente como "borrachinha". Essa é usada para prender o fio metálico na haleta do braquete. Porém funciona também com uma espécie de freio, o que também diminui a velocidade do tratamento.
Dessa forma, para aqueles que buscam um tratamento mais rápido, o aparelho mais indicado seria o metálico autoligável.
Agende sua consulta para avaliarmos o melhor tipo de tratamento que pode ser aplicado no seu caso.
